Neurological Imaging
Biomedical Imaging Laboratory
Alzheimer’s Disease
Alzheimer’s Disease (AD) is an neurodegenerative disease that progressively deteriorates memory and thinking skills, eventually affecting the capacity to perform daily living activities.
In the last decades, the prevalence of AD has increased significantly, and the number of people affected is expected to double in less than 20 years, thus becoming a global health epidemic, according to the World Health Organization.

Do you need us to help you?
Contact us and request more information.
It is currently known that changes in the brain of AD patients start years, even decades, before the appearance of clinical symptoms.
Thus, the development of tools for an early diagnosis, based on biomarkers, is crucial to allow for treatment before irreversible neuronal death has taken place.

Figure 1: Comparison of cerebral morphology in a healthy subject (left) with an Alzheimer's disease patient (right).
The clinical examination of patients with possible AD includes imaging studies using MRI, to evaluate atrophy, or PET and SPECT, to assess brain metabolism.
In this research project, we have evaluated the use of Arterial Spin Labeling (ASL) perfusion MRI as a new biomarker for an early diagnosis of AD. ASL employs arterial blood water as an endogenous tracer, thus avoiding the injection of a radioactive contrast agent.
ASL allows quantification of cerebral blood flow to detect regions of hypoperfusion and simultaneously ASL data can be used to assess functional connectivity alterations in the brain resting state networks. In this project, we have examined the default mode network (DMN).

Figure 2: Regions of gray matter atrophy in patients with Mild Cognitive Impairment compared with healthy control subjects.

Figure 3: Regions of gray matter atrophy in patients with AD compared with healthy control subjects.

Figure 4: Regions of hypoperfusion in patients with Mild Cognitive Impairment compared with healthy controls.

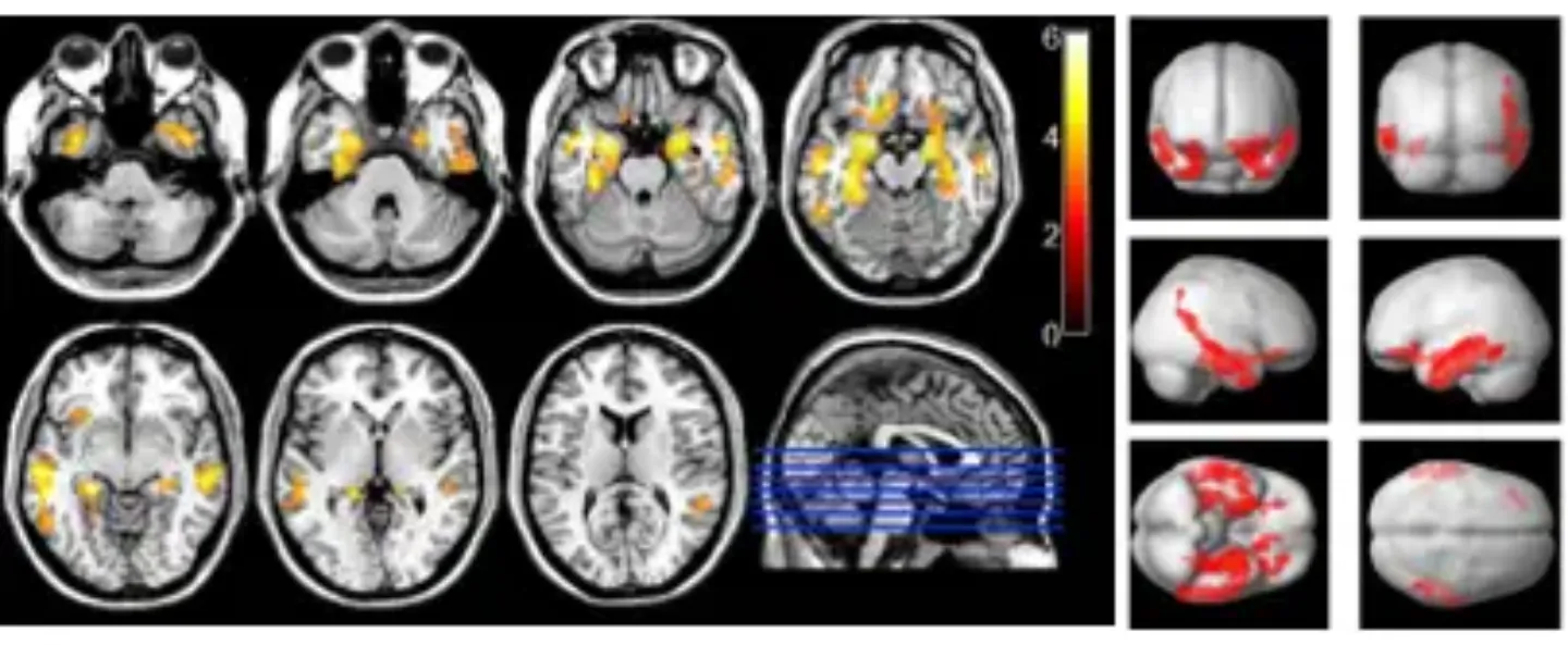
Figure 5: Regions of hypoperfusion in patients with AD compared with healthy controls.

Figure 6: Decrease in cerebral perfusion during the course of the disease: (a) Healthy subject, (b) patient with Mild Cognitive Impairment, (c) AD patient.