Artrosis de rodilla
"La artrosis está asociada con frecuencia al sobrepeso y/o a la presencia de deformidades angulares, especialmente en la rodilla. Hay que valorar muy bien el momento de colocar una prótesis".
DR. ANDRÉS VALENTÍ AZCÁRATE
ESPECIALISTA. DEPARTAMENTO DE CIRUGÍA ORTOPÉDICA Y TRAUMATOLOGÍA

La artrosis de rodilla es una enfermedad degenerativa y de "desgaste" que se presenta con mayor frecuencia en personas de edad avanzada, pero que también puede ocurrir en personas más jóvenes debido a lesiones previas en la rodilla. El cartílago se desgasta gradualmente disminuyendo la protección de los huesos.
La rodilla es una de las articulaciones del esqueleto humano en la que con más frecuencia se desarrolla artrosis.
La razón de la gran frecuencia de la artrosis de rodilla, en comparación con otras articulaciones del cuerpo, es por que la rodilla es una articulación "de carga", es decir, tiene que soportar el peso del cuerpo y de los objetos que transportamos, cuando permanecemos de pie o cuando nos desplazamos caminando, corriendo, subiendo o bajando escaleras.
La artrosis de rodilla, por lo general, se desarrolla lentamente y la progresión del dolor suele seguir la misma progresión, aunque puede cursar con descompensaciones espontáneas (artrosis primarias).
En ocasiones la artrosis es debida a lesiones previas de la rodilla tanto ligamentosas como meniscales o del cartílago, acelerando la aparición de los síntomas (artrosis secundarias).

¿Cuáles son los síntomas de la artrosis de rodilla?
El síntoma fundamental del paciente con artrosis de rodilla es el dolor. Al principio, el dolor es muy leve, sólo aparece cuando se ha realizado una actividad física muy importante y cede rápidamente con el reposo.
Cuando la enfermedad se ha establecido, es normal que el paciente note mayores molestias cuando empieza a caminar, mejorando los síntomas después de llevar un rato andando.
Al dolor se le añade una sensación de rigidez y de dificultad para flexionar y extender la pierna, que es también más intensa después de haber permanecido mucho tiempo en reposo. Otro síntoma es la sensación de chasquido, que se produce al flexionar la rodilla.
El dolor en la rodilla es mayor cuando se sube y se baja escaleras, cuando el paciente se pone en cuclillas y cuando se camina por un terreno irregular. En artrosis más severas, el paciente puede notar síntomas incluso en reposo.
Con un esfuerzo físico mayor del habitual (un paseo más largo, por ejemplo), el dolor se reagudiza, se hace continuo e, incluso, la rodilla se hincha por formarse un derrame.
Los síntomas más habituales son:
- Dolor en la rodilla.
- Fallo de la pierna al cargar en ella.
- Inflamación de la articulación.
- Rigidez de la articulación.
En los casos en los que se alcanzan fases más avanzadas de la enfermedad, además del dolor, que se hace más continuo e intenso, el paciente sufre una disminución en los movimientos que puede realizar con la rodilla (por ejemplo, no puede flexionar o extender completamente la pierna).
También pueden aparecer ciertas deformidades de la articulación y alteraciones en la alineación de los huesos, con arqueamiento de la extremidad inferior. Es habitual que el paciente cojee al caminar y que la rodilla se debilite, notando el enfermo con alguna frecuencia una sensación de "fallo" en la rodilla al dar los pasos.
¿Tiene alguno de estos síntomas?
Puede que padezca artrosis en la rodilla
¿Cuáles son las causas de la artrosis de rodilla?
La edad en la que suele empezar a desarrollarse la artrosis se sitúa alrededor de los 50 años y su progresión es muy lenta.
La artrosis de rodilla es muy rara en gente joven, a no ser que hayan sufrido un problema previo en la articulación (fractura o traumatismo, lesión meniscal...) que favorezca la aparición de una artrosis como complicación.
La obesidad es otro factor que tiene una importante relación con el desarrollo de artrosis en las rodillas. Es fácil entender que en una persona obesa sus rodillas tienen que soportar una sobrecarga de peso que favorece un mayor desgaste de la articulación.
Además, la artrosis de rodilla es más frecuente en las mujeres que en los hombres. La razón de esta diferencia entre sexos es desconocida.
Medidas preventivas
Es aconsejable:
- Moverse con frecuencia, alternando con períodos de reposo.
- Cambios frecuentes de posición de las rodillas, realizando ejercicios suaves, constantes, lentos de movilidad de las mismas, insistiendo en la extensión completa.
- En viajes largos de automóvil/avión, levantarse cada 2 horas para mover las piernas, especialmente estirarlas bien, etc.
- Utilizar calzado de tacón bajo y contrafuerte firme.
- Practicar natación y/o bicicleta sin resistencia.
- Utilizar colchón firme.
- Mantener el peso adecuado a su edad y constitución.
- En fase inflamatoria, aplicación de frío local (nunca directamente).
- Entrar y salir del coche con precaución.
Evitará:
- Subir y bajar escaleras sin necesidad.
- Calles con mucha pendiente.
- Estar un rato largo con las rodillas flexionadas.
- Caminar en exceso, especialmente por terreno irregular.
- Arrodillarse/ponerse en cuclillas.
- Cargar pesos.
- Giros y torsiones con el pie fijo.
¿Cómo se diagnostica la artrosis de rodilla?
El diagnóstico de la artrosis de rodilla es sencillo. Se basa en el interrogatorio que realiza el médico al paciente sobre las características de los síntomas, seguido de una exploración de la articulación de la rodilla, con la evaluación de los movimientos de la misma.
El diagnóstico se confirma mediante la práctica de una radiografía de las rodillas, en las que el médico puede ver los signos inconfundibles y característicos de la artrosis, como estrechamiento del espacio articular, cambios en el hueso y la formación de espolones óseos (osteofitos)..
Los análisis de sangre y las denominadas "pruebas reumáticas" son siempre normales en esta enfermedad.
Otras pruebas, como la resonancia magnética o el escaner, se pueden necesitar para determinar el estado del hueso y los tejidos blandos o cuando se sospeche alguna complicación en la rodilla, u otra lesión de rodilla que no tenga que ver con la artrosis (una rotura de menisco, por ejemplo).
En ocasiones, es necesario realizar una artroscopia para tener una visión directa del problema.
¿Cómo se trata la prótesis de rodilla?
El objetivo del tratamiento es aliviar el dolor y el mantenimiento de la capacidad funcional
Medicamentos
Los analgésicos, no narcóticos como el paracetamol y los medicamentos antiinflamatorios (AINE) suelen ser la primera opción de tratamiento para la artrosis de la rodilla.
Los inhibidores de la COX-2 es un tipo especial de AINE que puede causar menos efectos secundarios gastrointestinales.
Los corticostesteroides son poderosos agentes antiinflamatorios que pueden inyectarse en la articulación.
Estas inyecciones brindan alivio del dolor temporal para situaciones descompensadas y reducen la inflamación; Sin embargo, los efectos no duran indefinidamente.
La glucosamina, el sulfato de condroitina, colágeno… son sustancias que se encuentran de manera natural en el cartílago de las articulaciones y se pueden tomar como suplementos para aliviar las molestias. No hay pruebas que respalden que sean capaces de revertir la progresión de la artrosis.
Infiltraciones o inyecciones intrarticulares
La viscosuplementación implica inyectar ácido hialurónico en la articulación para mejorar la calidad del líquido articular y mejorar la lubricación. El tratamiento consiste en una inyección que en el mejor de los casos puede aliviar los síntomas entre 4 y 6 meses.
Las inyecciones de factores de crecimiento de plaquetas o de células madre, son una alternativa en rodillas no muy deterioradas y pueden ofrecer en ocasiones el alivio de los síntomas si bien no consiguen cambiar la evolución natural de la artrosis hasta el momento.
Terapias alternativas
No se han probado muchas formas alternativas de terapia, pero puede ser útil intentarlo como alivio de síntomas, siempre que encuentre un profesional calificado y mantenga informado a su médico sobre su decisión.
Las terapias alternativas, existen pocos estudios científicos sobre su efectividad, aunque en ocasiones pueden provocar mejorías temporales.
Su médico puede recomendar una cirugía si su dolor de artrosis causa discapacidad y no se alivia con tratamientos conservadores.
Artroscopia: Mediante dos pequeñas incisiones e instrumental específico pueden resolverse problemas meniscales y de bloqueo que ocasionen descompensaciones en la rodilla artrósica, si bien es un procedimiento que no se usa a menudo para tratar la artrosis de la rodilla.
Osteotomia: Consiste en la realización de un corte controlado en la tibia o el fémur para corregir o cambiar el eje de carga y de esa manera, aliviar el dolor, función y los síntomas como consecuencia del desgaste en una parte de la articulación.
Se realiza en rodillas con una artrosis o desgaste de un compartimento y en gente joven y activa.
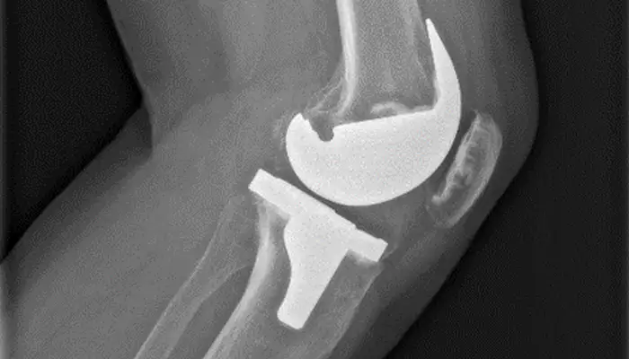
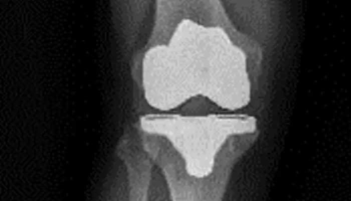
Prótesis total o parcial de rodilla (artroplastia). Consiste en la sustitución parcial o total de las superficies articulares desgastadas para restablecer la función de la rodilla.
¿Dónde lo tratamos?
EN NAVARRA Y MADRID
El Departamento de Cirugía Ortopédica y Traumatología
de la Clínica Universidad de Navarra
El Departamento de Cirugía Ortopédica y Traumatología cubre de forma completa el amplio espectro de afecciones congénitas o adquiridas del sistema músculo-esquelético incluyendo los traumatismos y sus secuelas.
Desde 1986 la Clínica Universidad de Navarra cuenta con un excelente banco de tejido osteotendinoso para disponer de injertos óseos y ofrecer las mejores alternativas terapéuticas.
Organizados en unidades asistenciales
- Cadera y rodilla.
- Columna vertebral.
- Extremidad superior.
- Ortopedia pediátrica.
- Tobillo y pie.
- Tumores musculoesqueléticos.

¿Por qué en la Clínica?
- Expertos en cirugía artroscópica.
- Profesionales altamente cualificados que realizan técnicas pioneras para solucionar lesiones traumatológicas.
- Uno de los centros con mayor experiencia en tumores óseos.